近日,佛山市第一人民医院龙江医院卒中中心成功为93岁急性脑梗死患者刘老太太实施急诊取栓手术。术后一周,老人言语功能、肢体力量完全恢复,可正常交流并在搀扶下站立,这一超高龄救治案例的成功,不仅彰显了医院卒中中心多学科协作的硬核实力,更印证了“高龄不再是取栓绝对禁区”的医学共识,标志着佛山市第一人民医院龙江医院在区域超高龄卒中救治领域实现关键突破。
反应迅速,抓住“黄金时间窗”
家住龙江的刘老太太虽已93岁高龄,但平日生活自理能力良好,始终保持着乐观的生活状态。近日晚间九点,正与家人围坐畅谈家常的她突然陷入沉默,肢体活动瞬间失灵——“说不出话,右手右脚完全动不了!”家属迅速识别出中风征兆,一边联系医院神经内科宁晓明主任,一边驱车送医。
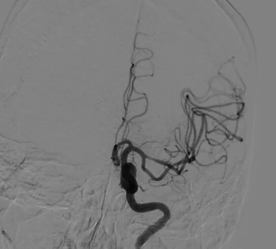
接到消息后,神经内科值班主治医师陈潮振立即启动卒中绿色通道,提前到急诊科待命。患者抵达佛山市第一人民医院龙江医院时,距离发病仅2小时,仍处于卒中救治“黄金时间窗”内。评估显示,其NIHSS(神经功能缺损评分)高达18分,表现为完全失语、右侧肢体偏瘫。急诊颅脑CT排除脑出血后,结合患者房颤病史及抗凝药服用情况,团队判断不符合静脉溶栓条件,随即启动颅脑MRI与脑血管成像检查,结果提示左侧大脑中动脉M1段急性闭塞——这正是导致患者突然瘫痪失语的“元凶”。

术前图示。
多学科会诊,40分钟精准“拆弹”
“时间就是大脑,每耽误一分钟,就有190万个脑细胞不可逆死亡。”卒中中心医疗总监、神经内科主任医师宁晓明接到报告后强调,“年龄不是绝对禁忌,关键在于精准评估,权衡风险与获益。”医院卒中中心迅速启动多学科会诊(MDT)机制,神经内科、综合介入科、麻醉科、影像科专家齐聚,全面评估病情。
专家团队注意到,刘老太太除了93岁高龄,还伴有心功能不全、肾功能不全等基础疾病,手术风险高于一般患者,且闭塞血管是关键供血动脉,若不及时开通,将导致永久性残疾甚至生命危险。与家属充分沟通并获得支持后,团队果断确定施行“DSA脑血管造影+介入血管内取栓术”。

手术术后图示:行“左侧大脑中动脉M1段取栓再通术后”血流通畅。
在多学科团队的密切配合下,综合介入科主任副主任医师吴鉴洲带领手术团队迅速就位。通过大腿根部微创穿刺,在DSA实时引导下将取栓支架精准送达闭塞部位,仅一次操作便成功取出完整血栓。术后造影显示,血管恢复通畅,大脑血流灌注立刻改善。从家属签字到血管再通,全程仅用20分钟,一场高效的“脑部血管疏通战”顺利完成。
全程守护,高龄康复有温度
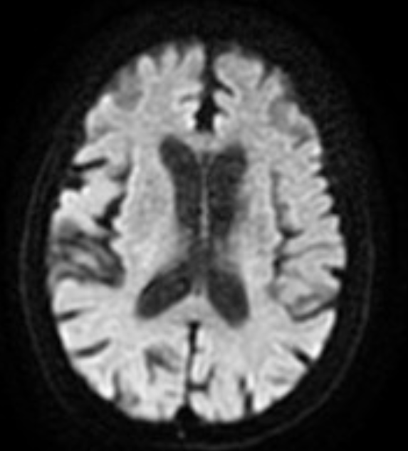
麻醉苏醒后,家属欣喜地发现老人已能模糊发出简单音节,原本无法动弹的右手也可微微抬起。术后24小时复查头颅CT,未出现出血等并发症;术后第三天颅脑MRI+DWI检查提示,缺血脑组织得到有效挽救,仅残留非核心区腔隙性梗死,为后续康复奠定了坚实基础。

术后3天复查颅脑MRI+DWI。
由于高龄且合并多种基础疾病,刘老太太术后一度出现血压偏低、尿量减少及肺部感染等情况。佛山市第一人民医院龙江医院院长、佛山市第一人民医院医疗总监、心血管内科主任医师肖长华高度重视,亲自组织多学科会诊并带队查房,指导后续治疗:“对超高龄卒中患者,血管再通只是第一步,必须注重心肺肾保护、早期康复、营养支持及并发症预防,形成全周期救治闭环。”

医生查房。
神经内科顾问医生张为西在查房时表示:“这个案例说明,随着介入技术的进步和评估体系的完善,高龄已不再是取栓的绝对禁区。佛山市第一人民医院龙江医院卒中中心建立的多学科协作与个体化评估模式,为更多超高龄患者带来了重生希望。”

老人点赞。
在卒中中心医护团队的精准诊疗和悉心照料下,老人恢复速度超出预期,术后一周便实现言语流利、肢体力量恢复正常,能与医护人员谈笑风生,家属由衷感慨:“真没想到93岁还能恢复得这么好,是医院给了她第二次生命!”
响应“百万减残”,筑牢卒中防护网
当前正值秋冬季脑卒中高发期,气温骤降易导致血管收缩、血压波动,显著增加卒中发病风险。作为国家“百万减残工程”协同救治体系成员,佛山市第一人民医院龙江医院依托“镇属市管”紧密型城市健共体医疗集团优势,正积极推进“秋冬护脑”卒中防治专项行动,向公众发出健康倡议:-
高危人群需强化预防:高血压、糖尿病、房颤、高血脂患者及老年人群,应定期监测指标,规范服用药物,严控基础病进展;
践行健康生活方式:秋冬季节注意保暖,适量饮水,坚持低盐低脂饮食,适度锻炼,戒烟限酒,保持情绪平稳;
掌握卒中识别技巧:牢记“BEFAST”原则,出现面部不对称、肢体无力、言语不清、视物模糊、头晕失衡等症状,立即拨打急救电话,送往具备卒中救治能力的医疗机构。


编辑:廖晓彤
来源:龙江医院